Tests
-
Blood tests
Cardiac blood tests measure levels of substances in your blood to assess your heart health. They can help diagnose heart conditions, monitor your progress, and determine your risk of heart disease.

-
ECG
An electrocardiogram (ECG or EKG) is a test to record the electrical signals in the heart. It shows how the heart is beating. Sticky patches called electrodes are placed on the chest and sometimes on the arms or legs.

-
Echocardiogram
An echocardiogram, or echo, is a noninvasive ultrasound scan that helps assess heart health. It's a low-risk, painless procedure that can be used to diagnose and treat a variety of heart conditions.

-
Heart Monitoring
Heart monitoring tests can help diagnose and monitor heart conditions. These tests can include electrocardiograms (ECGs), echocardiograms, stress tests, and imaging tests.

-
CT Coronary Angiogram
A CT coronary angiogram is a non-invasive imaging test that uses X-rays and dye to create 3D images of the heart and blood vessels. It's used to assess the structure of the heart and blood flow, and to identify blockages or narrowing of the coronary arteries.

-
Cardiac MRI Scan
A cardiac MRI scan, or CMR, is a painless, non-invasive test that uses radio waves and magnetic fields to create detailed images of the heart. It's considered the gold standard for evaluating the heart's function and size.

-
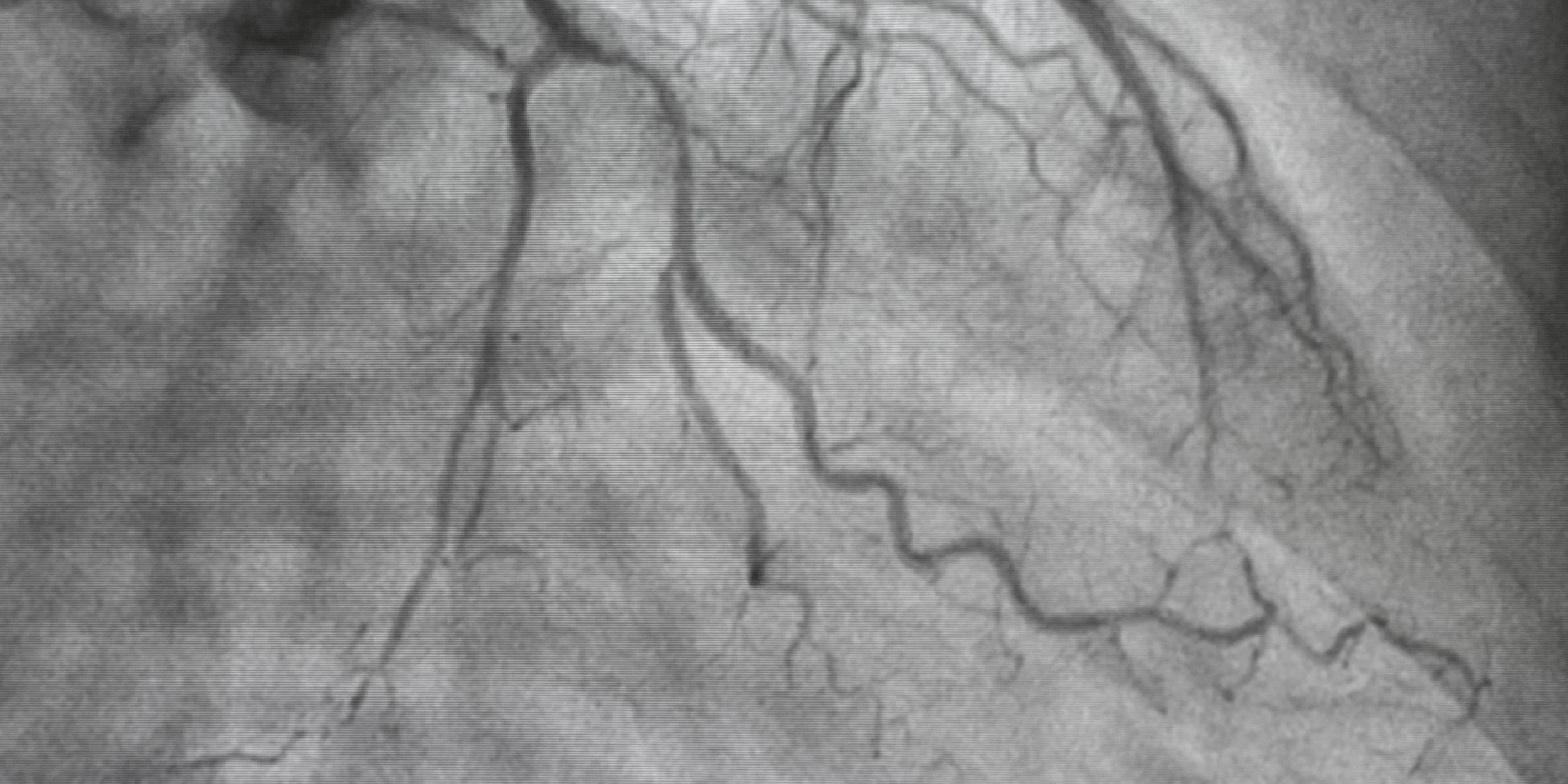
Coronary Angiogram
A coronary angiogram is a procedure that uses X-rays to examine the heart's blood vessels and chambers. It's a type of cardiac catheterisation that helps doctors diagnose heart conditions and plan treatments.

Coronary Angiography
A coronary angiogram is a test that allows us to see whether the arteries supplying your heart are narrowed or blocked. A small tube (catheter) is passed through a blood vessel in the wrist or groin, dye is injected so the arteries can be seen on X-ray. The procedure usually takes 20–30 minutes.
It’s done to investigate chest pain or breathlessness after an abnormal CT scan or stress test or following a heart attack or suspected heart disease.
✔ Usually done as a day-case
✔ Local anaesthetic, you are awake but comfortable
Coronary Assessment and Treatment
Coronary Physiology (Pressure & Flow Testing)
Not every narrowing seen on a scan causes symptoms or needs treatment. Coronary physiology tests measure how much blood is flowing past a narrowing and whether it is actually restricting blood supply to the heart muscle.
This is important to avoid unnecessary stents, ensuring treatment is only offered when it will genuinely help and it supports evidence-based, personalised care. This approach allows us to be precise rather than aggressive.
Intra-Coronary Imaging
Sometimes an X-ray alone doesn’t give enough detail. Intra-coronary imaging allows us to look inside the artery from within. This helps to gain an understanding how severe a narrowing really is, choosing the right size and length of a stent and ensuring the stent is perfectly positioned and expanded
There are two main techniques; ultrasound inside the artery – shows vessel size and plaque build-up and light-based imaging – provides very high-resolution detail. These techniques help tailor treatment to your individual anatomy, improving safety and long-term outcomes.
Coronary Stent Insertion (Angioplasty / PCI)
If a narrowing is causing symptoms or reducing blood flow, a stent may be recommended. A stent is a tiny metal mesh tube that is inserted using a balloon and left in place to keep the artery open. Modern stents are coated with medication to reduce re-narrowing and are designed for long-term durability and safety.
This can provide relief from chest pain (angina), improved exercise tolerance and reduced risk of future heart problems.
✔ Most patients go home the same or next day.
After Your Procedure
After your treatment, the care doesn’t stop.
You will receive:
Clear advice on medications
Guidance on activity, work, and driving
Ongoing review of risk factors such as blood pressure and cholesterol
A key part of my role is helping you understand:
What was found
What was done
What it means for your future heart health